
BLOG Intervencor
Caso clínico: Infarto agudo com supradesnivelamento do segmento ST em paciente com artéria coronária única.
Dr. Eduardo Pessoa de Melo
Escrito por:

![]() |
|---|
![]() |
![]() |
![]() |
![]() |
![]() |
![]() |
Instituição: Pronto-Socorro Cardiológico de Pernambuco - PROCAPE
Paciente masculino, 62 anos, com antecedente de hipertensão arterial sistêmica, admitido no Serviço com quadro de dor torácica anginosa típica iniciada subitamente. Foi atendido inicialmente em uma unidade de pronto-atendimento 3 horas após o início do quadro. Foi submetido a um eletrocardiograma que demonstrou elevação do segmento ST nas derivações DII, DIII, aVF e V3-V6. No momento, o paciente encontrava-se clinicamente estável e foi optado por terapia trombolítica farmacológica com Alteplase. Em seguida foi encaminhado à Emergência Cardiológica. Chegou ao Serviço após 6 horas do início da dor, hemodinamicamente estável (Killip 1) porém ainda sintomático e com persistência da elevação do segmento ST no ECG (imagem 1). Considerado o diagnóstico de trombólise farmacológica sem critérios de reperfusão e encaminhado o paciente para cateterismo cardíaco de urgência com provável angioplastia de resgate.
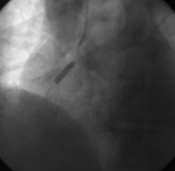
Cinecoronariografia: procedimento realizado por acesso radial direito com introdutor 6F, sendo evidenciado: origem anômala com tronco único emergindo do seio coronária direito. Artéria coronária direita (CD) dominante apresentando lesão obstrutiva severa no terço proximal com imagem de trombo (fluxo TIMI 3) (imagens 1 e 2). Tronco da coronária esquerda (TCE) longo e de bom calibre, com origem no tronco coronário único. Artéria circunflexa (Cx) e ramos marginais com irregularidades parietais discretas, sem lesões obstrutivas. Artéria descendente anterior (DA) e ramos diagonais com irregularidades parietais discretas, sem lesões obstrutivas (imagens 3 e 4). Ventrículo esquerdo (VE) com hipocinesia inferior importante.
Intervenção Coronária Percutânea: posicionado cateter terapêutico JR 6F 4,0 e cateterizada a artéria coronária direita. Progredido fio-guia 0,014“ Galeo (Biotronik) na artéria CD. Realizada angioplastia com implante direto de um stent não farmacológico Prokinetic Energy (Biotronik) 3,5 x 26 mm (16 atm) com sucesso. Procedimento otimizado com pós-dilatação com balão NC Sprinter (Medtronic) 4,5 x 12 mm (20 atm) (imagens 5 e 6). Ao final do procedimento, artéria aberta com fluxo TIMI 3 (imagem 7).
Comentários: este caso ilustra uma situação inusitada e relativamente incomum no laboratorio de hemodinâmica. Trata-se de um paciente com infarto agudo do miocárdio com supraST com coronariografia demonstrando tronco coronariano único com origem do seio coronariano direito. Dentre as anomalias de origem coronariana, a artéria circunflexa com origem no seio coronário direito (com ou sem trajeto interarterial) é a apresentação mais comum. A presença de tronco coronário único seja com origem no seio esquerdo ou direito é uma apresentação rara. Portanto, quando consideramos a frequência com que pacientes com este tipo raro de anomalia se apresentam no laboratorio de hemodinâmica com uma síndrome coronariana aguda (SCA) com supraST, realmente percebemos que é um fenômeno incomum. Do ponto de vista clínico, é importante ressaltar que a topografia da oclusão do vaso é fundamental para o prognóstico do paciente. Isto quer dizer que, caso um paciente com anatomia semelhante apresente uma placa aterosclerótica que evolua com oclusão total do vaso no trecho mais proximal (no tronco comum), possivelmente o desfecho clínico será uma morte súbita. No caso relatado, a oclusão ocorreu alguns milímetros após a bifurcação do tronco único, fazendo com que o paciente se apresentasse como um infarto habitual de artéria coronária direita dominante.







